https://doi.org/10.35381/s.v.v8i1.3874
Manejo quirúrgico de un frenillo lingual anómalo causante de una recesión mucogingival. Reporte de caso
Surgical management of an abnormal lingual frenulum causing mucogingival recession. Case report
Nicole Andrea Arcos-Núñez
oa.nicoleaan68@uniandes.edu.ec
Universidad Regional Autónoma de los Andes, Ambato, Tungurahua, Ecuador
https://orcid.org/0000-0002-7417-1801
Esteban Joel Gómez-Quesada
oa.estebanjgq07@uniandes.edu.ec
Universidad Regional Autónoma de los Andes, Ambato, Tungurahua, Ecuador
https://orcid.org/0000-0003-3435-8759
María Augusta Dávila-Guangasi
Universidad Regional Autónoma de los Andes, Ambato, Tungurahua, Ecuador
https://orcid.org/0000-0002-5578-8128
Ángel Fabricio Villacis-Tapia
ua.angelvillacis@uniandes.edu.ec
Universidad Regional Autónoma de los Andes, Ambato, Tungurahua, Ecuador
https://orcid.org/0000-0003-3062-8790
Revisado: 10 de diciembre 2023
Aprobado: 15 de enero 2024
Publicado: 01 de febrero 2024
RESUMEN
Objetivo: Manejo quirúrgico de un frenillo lingual anómalo causante de una recesión mucogingival desde un reporte de caso. Método: Reporte de caso. Conclusión: En el caso presentado, la presencia de un frenillo lingual largo alteraba la movilidad de la lengua, impidiendo que el paciente pueda tocar el paladar duro, o el borde incisal de los dientes superiores en posición de apertura máxima. Por lo tanto, se decidió realizar la exéresis del frenillo lingual, aplicando la técnica quirúrgica lineal. Es importante tomar en cuenta parámetros como: el largo, grosor del frenillo lingual y la movilidad de la lengua.
Descriptores: Frenillo lingual; dentición; periodoncio. (Fuente: DeCS).
ABSTRACT
Objective: Surgical management of an anomalous lingual frenulum causing mucogingival recession from a case report. Method: Case report. Conclusion: In the case presented, the presence of a long lingual frenulum altered the mobility of the tongue, preventing the patient from touching the hard palate, or the incisal edge of the upper teeth in the maximum opening position. Therefore, it was decided to perform excision of the lingual frenulum using the linear surgical technique. It is important to take into account parameters such as: length, thickness of the lingual frenulum and tongue mobility.
Descriptors: Lingual frenum; dentition; periodontium. (Source: DeCS).
INTRODUCCIÓN
Las deformidades de los tejidos mucogingivales pueden ser congénitas, relacionadas con el desarrollo o adquiridas a lo largo de la vida, traen consecuencias tanto funcionales como estéticas. Una condición mucogingival es la desviación de la anatomía normal de los tejidos que se encuentran entre el margen gingival y la unión mucogingival. Y es por ello por lo que es de suma importancia la evaluación y examinación de las relaciones mucogingivales que existen, tales como las inserciones anormales de los frenillos. 1 2 3 4 5 6
Los frenillos son pliegues (bandas) de tejido fibroso, muscular o ambos, cubiertos de mucosa oral que se encargan de mantener fijo la mucosa de los carrillos, la lengua y los labios a la mucosa alveolar, la encía y el periostio subyacente. La recesión gingival se define como la migración apical del margen gingival con respecto a la unión esmalte-cemento, que deja descubierto el cemento radicular, trayendo como consecuencia una corona clínica más amplia en sentido ocluso-gingival, lo que conlleva a la aparición de problemas estéticos, en especial si se trata del sector anterior, hipersensibilidad dentina, caries radicular, abrasión y recesión. 7 8 9 10 11 12 13 14 15
Se presenta como objetivo el manejo quirúrgico de un frenillo lingual anómalo causante de una recesión mucogingival desde un reporte de caso.
REPORTE DE CASO CLÍNICO
Se presenta el caso de un paciente masculino de 58 años que se presentaba sensibilidad en los órganos dentarios anteriores en lingual y molestias al momento del habla. El paciente no reportó antecedentes patológicos de relevancia. Al practicar el examen estomatológico se observó que el paciente presentaba recesión lingual en los dientes anteriores, determinando que la causa del mismo era debido al frenillo lingual, en donde la primera manifestación clara fue que el paciente no podía colocar su lengua en el paladar, y que al momento de hacerlo, la inserción del frenillo lingual causaba tensión y generaba recesión, por lo que se indicó una frenectomía lingual para evitar mayor recesión, mejorar la movilidad lingual y brindar beneficios del habla.
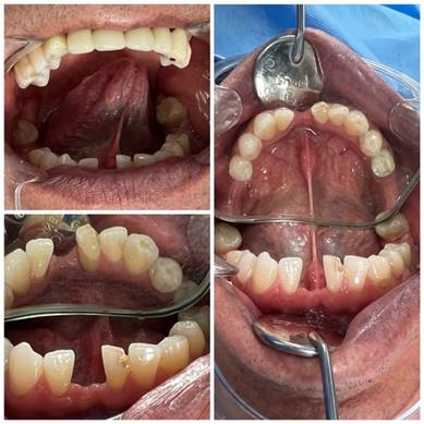
Se remitió al paciente a las clínicas odontológicas de UNIANDES, sede Ambato, edificio Dra. Corona Gómez PhD para realizar el tratamiento de frenectomía lingual. Una vez explicado el procedimiento al paciente de manera verbal y escrita a través del consentimiento informado, se programó la fecha quirúrgica (Figura 1).

Figura 1. Fotografías Intraorales del Paciente.
Elaboración: Los autores.
Material e instrumental utilizado:
· Bata, gorro, zapatones, guantes estériles, batas y gasas estériles.
· Yodo povidona de uso tópico y Enguaje bucal.
· Campo de ojo, campo estéril para mesa y pinzas de campo, pinza hemostática.
· Cánula de succión metálica. Electrobisturí
· Jeringa carpule, aguja larga.
· Espejos intraorales
· Solución fisiológica y jeringa desechable de 20cc
· 1 cartucho de anestesia con lidocaína con epinefrina 1: 100 000 al 2%, separador de Minessota
· Hilo de sutura Nylon 3/0
· Porta agujas, tijera iris curva, pinza Adson con diente.
Técnica quirúrgica:
Se indica la excéresis del frenillo lingual, mediante el uso de la técnica lineal vertical con electrobisturí.
Se realiza la asepsia extraoral del paciente con Yodo Povidona (Povidyn) la cual se aplicó con una pinza hemostática con una gasa, e intraoral con Clorhexidina al 0.12% la misma que el paciente mantuvo en su boca durante 30 segundos. (Figura 2).


Figura 2. Técnica de asepsia.
Elaboración: Los autores.
· Anestesia: Se realiza la anestesia infiltrativa regional y con un punto de punción del lado anestesiado se infiltra al otro lado del frenillo (contralateral). (Figura 3)

Figura 3. Técnica anestésica.
Elaboración: Los autores.
· Diéresis: Se sujetó la lengua con la ayuda de una pinza Adson con dientes, después se utilizó el electrobisturí realizando cortes lineales verticales o ligeramente convergentes hacia apical. (Figura 4)

Figura 4. Diéresis.
Elaboración: Los autores.
· Desprendimiento nítido del frenillo: Al terminar la primera fase de la diéresis se debe observar el desprendimiento nítido de la inserción del frenillo. Con este desprendimiento se intenta evitar la recidiva. (Figura 5)

Figura 5. Desprendimiento nítido del frenillo.
Elaboración: Los autores.
· Disección y eliminación del frenillo: Se utiliza un elevador o tijeras quirúrgicas para separar y disecar el frenillo del tejido circundante. Se corta el frenillo en su base y se retira por completo. (Figura 6)

Figura 6. Disección y eliminación del frenillo.
Elaboración: Los autores.
· Sutura: Se realiza cinco puntos de sutura en la zona de tejidos libres con el uso de hilo Nylon 4/0 (Dafilon). (Figura 7)

Figura 7. Sutura.
Elaboración: Los autores.
Indicaciones Post Operatorias
Se recomienda reposo relativo al paciente, mantener una dieta blanda, higienizar la cavidad oral, toma de analgésicos (Paracetamol). No levantar constantemente o con fuerza la lengua ya que puede provocar que la sutura se suelte y generar una brida cicatrizal antiestética. El control del paciente y retiro de la sutura se realizará después de quince días.
CONCLUSIONES
En el caso presentado, la presencia de un frenillo lingual largo alteraba la movilidad de la lengua, impidiendo que el paciente pueda tocar el paladar duro, o el borde incisal de los dientes superiores en posición de apertura máxima. Por lo tanto, se decidió realizar la exéresis del frenillo lingual, aplicando la técnica quirúrgica lineal. Es importante tomar en cuenta parámetros como: el largo, grosor del frenillo lingual y la movilidad de la lengua. El postoperatorio usualmente presenta algún tipo de incomodidad al paciente, debido al dolor provocado durante los movimientos linguales. La sección del frenillo resuelve la dificultad anatómica, pero la correcta utilización de la lengua requiere una rehabilitación funcional post-operatoria. Se concluye que los frenillos linguales largos son capaces de producir recesión en la zona lingual, debido a la tracción que ejerce. Es decir, posee una relación directa entre la altura e inserción del frenillo con respecto a la pérdida papilar y la presencia de recesiones gingivales.
Los autores declaran que no tienen conflicto de interés en la publicación de este artículo.
FINANCIAMIENTO
Autofinanciado.
AGRADECIMIENTO
A todos los actores sociales involucrados en el desarrollo de la investigación.
REFERENCIAS
1. Varadan M, Chopra A, Sanghavi AD, Sivaraman K, Gupta K. Etiology and clinical recommendations to manage the complications following lingual frenectomy: A critical review. J Stomatol Oral Maxillofac Surg. 2019;120(6):549-553. https://doi.org/10.1016/j.jormas.2019.06.003
2. Murias I, Grzech-Leśniak K, Murias A, et al. Efficacy of Various Laser Wavelengths in the Surgical Treatment of Ankyloglossia: A Systematic Review. Life (Basel). 2022;12(4):558. https://doi.org/10.3390/life12040558
3. Castro-Rodríguez Y, Grados-Pomarino S. Relación entre frenillos labiales y periodonto en una población peruana [Relationship between labial frenulum and periodontium in a Peruvian population]. Rev. Clin. Periodoncia Implantol. Rehabil. Oral. 2017;10(1):41-43.
4. Baxter R, Merkel-Walsh R, Baxter BS, Lashley A, Rendell NR. Functional Improvements of Speech, Feeding, and Sleep After Lingual Frenectomy Tongue-Tie Release: A Prospective Cohort Study. Clin Pediatr (Phila). 2020;59(9-10):885-892. https://doi.org/10.1177/0009922820928055
5. Hatami A, Dreyer CW, Meade MJ, Kaur S. Effectiveness of tongue-tie assessment tools in diagnosing and fulfilling lingual frenectomy criteria: a systematic review. Aust Dent J. 2022;67(3):212-219. https://doi.org/10.1111/adj.12921
6. Dioguardi M, Ballini A, Quarta C, et al. Labial Frenectomy using Laser: A Scoping Review. Int J Dent. 2023;2023:7321735. https://doi.org/10.1155/2023/7321735
7. Fioravanti M, Zara F, Vozza I, Polimeni A, Sfasciotti GL. The Efficacy of Lingual Laser Frenectomy in Pediatric OSAS: A Randomized Double-Blinded and Controlled Clinical Study. Int J Environ Res Public Health. 2021;18(11):6112. https://doi.org/10.3390/ijerph18116112
8. Ahn JH, Newton T, Campbell C. Labial frenectomy: current clinical practice of orthodontists in the United Kingdom. Angle Orthod. 2022;92(6):780-786. https://doi.org/10.2319/011822-56.1
9. Protásio ACR, Galvão EL, Falci SGM. Laser Techniques or Scalpel Incision for Labial Frenectomy: A Meta-analysis. J Maxillofac Oral Surg. 2019;18(4):490-499. https://doi.org/10.1007/s12663-019-01196-y
10. Binti Zaaba NAA, Rajasekar A, Kk SS. Evaluation of healing following frenectomy. Bioinformation. 2021;17(12):1138-1143. https://doi.org/10.6026/973206300171138
11. Savtchen LAO, Silva CM, Sanglard LF, Cypriano RV, Leal AL, Cançado RP. Ranula Formation After Lingual Frenectomy in a Newborn. J Dent Child (Chic). 2023;90(2):111-115.
12. Nammour S. Laser-Assisted Tongue-Tie Frenectomy for Orthodontic Purpose: To Suture or Not to Suture?. Photobiomodul Photomed Laser Surg. 2019;37(7):381-382. https://doi.org/10.1089/photob.2019.4647
13. Sæthre T, Berg E, Bunæs DF, Leknes KN. Complication following frenectomy: A case report. Clin Case Rep. 2021;9(10):e04888. https://doi.org/10.1002/ccr3.4888
14. Pares Perfetti A, Guada Melet NV, Castillo Páez JA. Frenectomía lingual con láser ND:YAG. reporte de caso [Lingual frenectomy with ND:YAG laser. case report]. Rev Cient Odontol (Lima). 2023;11(2):e158. https://doi.org/10.21142/2523-2754-1102-2023-158
15. Xie L, Wang P, Ding Y, Zhang L. Comparative frenectomy with conventional scalpel and dual-waved laser in labial frenulum. World J Pediatr Surg. 2022;5(1):e000363. https://doi.org/10.1136/wjps-2021-000363
©2024 por los autores. Este artículo es de acceso abierto y distribuido según los términos y condiciones de la licencia Creative Commons Atribución-NoComercial-CompartirIgual 4.0 Internacional (CC BY-NC-SA 4.0) (https://creativecommons.org/licenses/by-nc-sa/4.0/).